“C’è un mattino in cui ti svegli e percepisci che il tuo corpo reagisce in modo diverso. Forse è il tempo che impieghi a trovare una parola o il modo in cui le tue dita esitano sui tasti del telefono. Forse è solo una sensazione vaga, un silenzioso riconoscimento che qualcosa è cambiato, non all’improvviso, ma come chi osserva il mare che si ritira lentamente dalla sabbia. Il cervello a settant’anni non è lo stesso che a quaranta o a cinquanta. E questa non è una tragedia, è una verità biologica che merita di essere compresa con serenità e curiosità, perché all’interno di questi cambiamenti esiste anche una forma di saggezza che solo il tempo può scolpire”, spiega la dottoressa Nazareth Castellanos sul suo sito YouTube Cerebro y Alma. Castellanos è una fisica e neuroscienziata , nota per le sue ricerche sulla connessione cervello-corpo, la respirazione e la meditazione, e per il suo lavoro di divulgazione scientifica attraverso libri come “El espejo del cerebro” (Lo specchio del cervello) e “Neurociencia del cuerpo” (Neuroscienze del corpo). Dirige la ricerca presso il Nirakara-Lab ed esplora come la consapevolezza e l’attività fisica influiscano sulla salute fisica ed emotiva, collegando la scienza al benessere umano. Da oltre 20 anni si dedica alla ricerca scientifica, concentrandosi sulla plasticità cerebrale, l’attenzione e la regolazione emotiva. In un podcast ha illustrato i fenomeni che si verificano nel nostro cervello a partire dai 70 anni e ha spiegato come questi possano essere considerati una sfida e non una fatalità che ci paralizza.
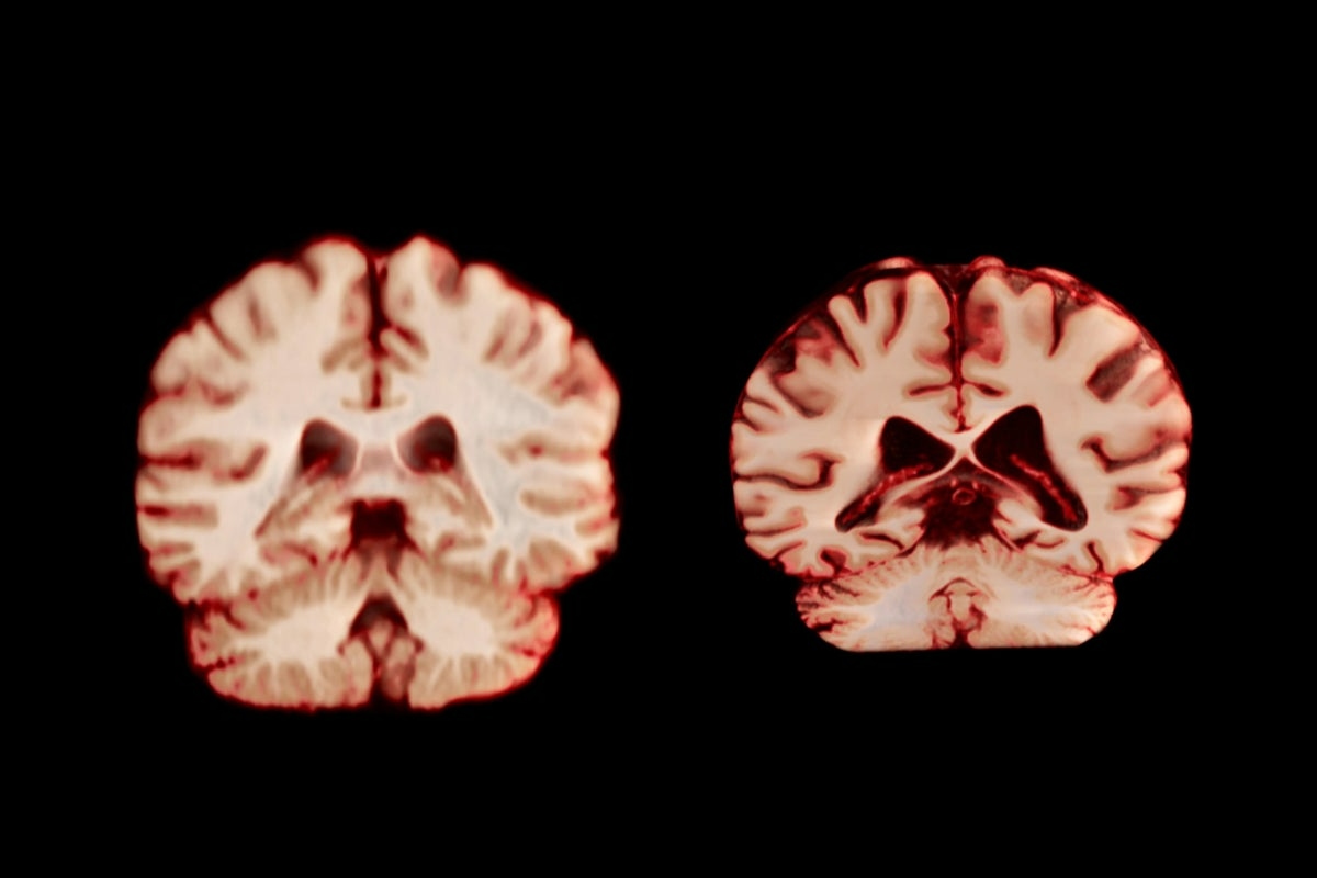
Riduzione del volume cerebrale

Si tratta di un processo graduale che inizia decenni prima e accelera dopo i settant’anni. La corteccia prefrontale, la regione che ci permette di pianificare, prendere decisioni complesse, controllare gli impulsi e mantenere l’attenzione sostenuta, è una delle aree più colpite. Anche la sostanza bianca, ovvero le fibre nervose avvolte nella mielina che collegano diverse regioni del cervello, subisce alterazioni. La mielina, lo strato protettivo che permette agli impulsi elettrici di viaggiare rapidamente tra i neuroni, inizia a deteriorarsi.
Ci vuole più tempo per elaborare una nuova informazione, una conversazione veloce diventa difficile da seguire, la parola che vogliamo dire è sulla punta della lingua, ma non arriva. “Non è mancanza di intelligenza, è un cambiamento nella velocità di elaborazione”, afferma la specialista.
Dopo i settant’anni, l’ippocampo inizia a funzionare in modo diverso. Non perde tutta la sua capacità di registrare, ma diventa più selettivo, più lento… Si può ricordare con chiarezza emotiva e sensoriale qualcosa che è successo cinquant’anni fa, ogni dettaglio della luce di quel pomeriggio, il profumo del giardino, il timbro di una voce. Ma il nome della persona che si è incontrata ieri o dove si sono lasciate le chiavi questa mattina sembrano dissolversi come fumo. “Questo accade perché il consolidamento dei ricordi recenti dipende da processi neurobiologici che diventano meno efficienti. La neurogenesi, la capacità di generare nuovi neuroni nell’ippocampo, diminuisce drasticamente”, spiega Nazareth Castellanos.
La buona notizia è che la memoria non dipende solo dai nuovi neuroni, ma anche dalla qualità delle connessioni tra i neuroni già esistenti. E queste connessioni, queste sinapsi, possono continuare a rafforzarsi attraverso l’esperienza, la curiosità, l’apprendimento continuo.
Diminuzione della produzione di neurotrasmettitori
Dopamina, serotonina, acetilcolina: queste molecole che consentono ai neuroni di comunicare tra loro iniziano a essere prodotte in quantità minori. La dopamina, correlata alla motivazione, al piacere e al movimento, diminuisce in particolare nei circuiti che collegano la corteccia prefrontale con le strutture più profonde del cervello. Ciò può tradursi in una riduzione dell’energia, dell’iniziativa di intraprendere nuovi progetti e del senso di gratificazione.
Anche l’acetilcolina, essenziale per l’attenzione e la memoria, diminuisce, contribuendo a quella sensazione di annebbiamento mentale che a volte si manifesta, come se il pensiero dovesse attraversare un sottile strato di cotone prima di diventare chiaro. Il cervello non perde la sua essenza, ma ha bisogno di lavorare in modo diverso, compensare con altre strategie, fare affidamento su altre risorse. “La plasticità cerebrale, quella meravigliosa capacità del cervello di riorganizzarsi, di creare nuove connessioni, di imparare e adattarsi, non scompare a settant’anni, ma cambia qualità”, chiarisce Castellanos.
La plasticità è più lenta, più selettiva, ma esiste ancora. Ciò che cambia è lo sforzo necessario: imparare una nuova lingua, padroneggiare una tecnologia sconosciuta, adattarsi a routine diverse. Tutto questo richiede più tempo, più ripetizione, più pazienza. Ma non è impossibile. Il cervello continua ad essere in grado di crescere, di creare nuovi percorsi neuronali, specialmente quando l’esperienza è accompagnata da emozione, significato personale, curiosità genuina. Il problema è che spesso a questa età ci viene detto o ci convinciamo che non vale la pena provare, che è troppo tardi, che lo sforzo non porterà risultati. E questa convinzione da sola limita la plasticità più di qualsiasi cambiamento biologico.
Non è necessario rassegnarsi. “Il cervello risponde a ciò che ci aspettiamo da lui. Se ci aspettiamo rigidità, troveremo rigidità. Se ci aspettiamo la possibilità, anche se lenta, troveremo delle strade“, afferma questa specialista.
Difficoltà legate al sonno
Ci sono anche cambiamenti nel modo in cui il cervello regola il sonno. Il ritmo circadiano, quell’orologio interno che ci dice quando dormire e quando svegliarci, diventa meno stabile. La produzione di melatonina, l’ormone che induce il sonno, diminuisce. L’architettura del sonno cambia. Le fasi di sonno profondo, essenziali per il consolidamento della memoria e il ripristino cellulare, diventano più brevi e meno frequenti. Ci si può svegliare più volte durante la notte, avere difficoltà a riaddormentarsi, sentire che il riposo non è completo… E questo ha conseguenze dirette sul funzionamento diurno del cervello. La mancanza di sonno profondo influisce sulla memoria, sull’attenzione, sull’umore, sulla capacità di regolare le emozioni. È un circolo vizioso. Il cervello cambia, il sonno peggiora, le funzioni cognitive diminuiscono, l’ansia aumenta, il sonno peggiora ulteriormente. Ma comprenderlo non significa arrendersi, significa trovare delle strategie. Mantenere orari regolari, creare rituali di riposo, ridurre gli stimoli prima di dormire, prestare attenzione alla luce naturale durante il giorno.
Cambiamenti nella velocità di elaborazione
Questo è forse uno dei cambiamenti più evidenti e frustranti. Non è che si perda la capacità di comprendere o ragionare, ma tutto richiede più tempo. Leggere un testo complesso, risolvere un problema matematico, seguire una conversazione con più persone che parlano contemporaneamente… Tutto questo richiede più sforzo e più tempo.
Ma c’è qualcosa che compensa questa lentezza: la profondità. A settant’anni, hai decenni di esperienza accumulata, modelli riconosciuti, contesti compresi. Ciò che si perde in velocità, si può guadagnare in saggezza, nella capacità di vedere connessioni che qualcuno più giovane non vede, nella comprensione sfumata delle situazioni.
“La questione è permettersi quel ritmo diverso, non confrontarsi con quello che si era decenni fa, ma riconoscere il valore di quello che si è ora”, spiega Castellanos.
Diminuzione della capacità di dividere l’attenzione
Fare più cose contemporaneamente, passare rapidamente da un compito all’altro, mantenere attive nella mente più informazioni contemporaneamente… Tutto questo diventa più difficile. L’attenzione diventa più ristretta, più focalizzata, ma anche più rigida. Questo può essere compensato con l’organizzazione, con la semplificazione dell’ambiente, con strategie esterne come liste, allarmi, routine prevedibili. “Il cervello a settant’anni ha bisogno di sostegno, non di giudizio”, afferma Castellanos.
Cambiamento nell’intensità delle emozioni

Molte persone tendono a sperimentare una maggiore stabilità emotiva, una minore reattività intensa, una certa serenità che non deriva dall’indifferenza, ma da una regolazione emotiva più matura. Questo accade perché l’amigdala, la struttura responsabile delle risposte emotive rapide e intense, diventa meno reattiva. Allo stesso tempo, la corteccia prefrontale, nonostante i suoi cambiamenti, mantiene la sua capacità di modulare tali risposte. Il risultato è che ci si può sentire meno impulsivi, meno dominati da emozioni improvvise, più capaci di osservare i propri sentimenti con compassionevole distacco.
La vita emotiva diventa più piatta, più tranquilla, ma a volte anche più monotona. Ciò è correlato alla diminuzione della dopamina, con cambiamenti nei circuiti di ricompensa. Non si tratta necessariamente di depressione, anche se può essere confusa con essa. È un cambiamento nel tono affettivo, una trasformazione nel modo in cui il cervello elabora il piacere e il dolore.
Sottili cambiamenti nel linguaggio
Il vocabolario, la comprensione delle parole, la capacità di comprendere frasi complesse: tutto questo generalmente rimane ben conservato. Decenni di lettura, conversazione, riflessione hanno lasciato una rete semantica ricca e profonda. Ma il recupero di parole specifiche, in particolare i nomi propri, diventa più difficile. Si sa cosa si vuole dire, si ha l’idea chiara in mente, ma la parola esatta non viene. Questo fenomeno è chiamato “punta della lingua” e diventa più frequente con l’età. Non è Alzheimer, non è demenza. È una normale difficoltà nel recupero lessicale. Il cervello ha le informazioni memorizzate, ma il percorso per accedervi è diventato più stretto, più lento. “A volte è necessario descrivere il concetto con altre parole”, il che “può essere frustrante, ma anche un’opportunità per sviluppare un linguaggio più descrittivo, più metaforico, più creativo”, afferma Castellanos.
Cambiamenti nella percezione sensoriale
Questi influenzano direttamente il modo in cui il cervello interpreta il mondo. La vista diventa meno nitida, l’udito meno sensibile, soprattutto alle frequenze alte. Non si tratta solo di un problema degli occhi o delle orecchie, ma anche di un problema di elaborazione cerebrale. La corteccia visiva e la corteccia uditiva ricevono informazioni più scarse, più rumorose e devono lavorare di più per estrarne il significato. Il cervello a settant’anni ha bisogno di stimoli più chiari, più forti, più distinti.
Luce adeguata, ambienti silenziosi, tempo per elaborare e anche pazienza, sia da parte della persona che da parte di chi le sta intorno.
Diminuzione dell’efficienza della barriera emato-encefalica
Questa barriera è una struttura di cellule specializzate che protegge il cervello, impedendo alle sostanze tossiche presenti nel sangue di entrare nel tessuto nervoso. Con l’età, questa barriera diventa più permeabile, più porosa. Il cervello diventa più vulnerabile alle infiammazioni, alle tossine, ai processi degenerativi. L’infiammazione cronica di basso grado, che aumenta con l’età in tutto il corpo, colpisce anche il cervello. Le citochine infiammatorie, molecole rilasciate dal sistema immunitario, iniziano a circolare nel tessuto nervoso, influenzando la funzione neuronale, la plasticità e la neurogenesi.
Prendersi cura della salute generale, ridurre l’infiammazione attraverso l’alimentazione, l’esercizio fisico e il sonno diventa ancora più importante in questa fase della vita. Possiamo sentire che è più difficile iniziare un progetto, che si procrastina di più, che ci si distrae facilmente, che si ha difficoltà a mantenere la concentrazione fino alla fine di un compito… “Non si tratta di mancanza di volontà, ma di un reale cambiamento nella capacità del cervello di coordinare azioni complesse. Ma anche in questo caso esistono delle strategie. Suddividere i compiti più grandi in piccoli passi, utilizzare promemoria esterni, creare routine che riducano la necessità di prendere decisioni costanti, semplificare l’ambiente per ridurre le distrazioni. Il cervello a settant’anni può fare molte cose, ma ha bisogno di struttura, sostegno esterno, compassione interna…”, chiarisce Castellanos
Diminuzione della memoria di lavoro
Anche la capacità di mantenere attive nella mente le informazioni mentre le si manipola diminuisce. È come se il tavolo di lavoro mentale diventasse più piccolo. Ma la memoria a lungo termine, specialmente per gli eventi emotivamente significativi, può rimanere sorprendentemente intatta. Il cervello dà la priorità a ciò che ha un carico emotivo, a ciò che ha significato, a ciò che ha segnato la storia di ciascuno. E questa è una forma di saggezza.
Cambiamento nel modo in cui il cervello elabora ricompense e motivazioni
“Il sistema dopaminergico che ci spinge a cercare novità, a esplorare, a provare piacere nelle conquiste, diventa meno reattivo. Questo può manifestarsi come una riduzione dell’entusiasmo, della curiosità spontanea, della disponibilità a sperimentare cose nuove… Ci si può sentire più a proprio agio con le routine conosciute, meno disposti a uscire dalla zona di comfort“, ci dice la specialista. ”La sfida è trovare un equilibrio, rispettare il bisogno di stabilità e prevedibilità, ma anche alimentare la curiosità, cercare novità entro limiti confortevoli, mantenere il cervello impegnato con il mondo”.
La capacità di inibizione diminuisce o aumenta
Questa capacità di controllare gli impulsi, di non dire o fare la prima cosa che viene in mente, può sia migliorare che peggiorare. In alcune persone c’è una maggiore disinibizione, una tendenza ad essere più diretti, meno preoccupati delle convenzioni sociali, a volte persino scortesi, senza intenzione. Questo accade perché la corteccia prefrontale, responsabile del controllo inibitorio, è meno efficiente. Ma in altre persone si registra un aumento dell’autocontrollo, una maturità emotiva che deriva dall’esperienza e da una regolazione emotiva più sviluppata. Non esiste una regola unica. Ogni cervello invecchia in modo particolare, riflettendo non solo la biologia, ma anche la storia di vita, le esperienze accumulate, le abitudini mantenute nel corso dei decenni.
Aumento del rischio di sviluppare patologie neurodegenerative

Il rischio aumenta in modo significativo, ma è importante capire che il normale invecchiamento non è una malattia. I cambiamenti descritti fanno parte del normale invecchiamento, non sono segni di demenza. La demenza è una condizione patologica che va ben oltre i normali cambiamenti, che interferisce profondamente con l’autonomia, la capacità di prendersi cura di sé, l’essenza della persona… Confondere l’invecchiamento con la malattia è un errore che genera paura inutile, che fa sì che ogni dimenticanza venga interpretata come l’inizio di una tragedia.
È fondamentale distinguere. Dimenticare dove si sono lasciate le chiavi è normale. Dimenticare a cosa servono le chiavi non lo è. Avere difficoltà a ricordare un nome è normale. Non riconoscere la propria famiglia non lo è.
L’invecchiamento cerebrale non dipende solo dall’età cronologica. Dipende da decenni, da scelte, da abitudini, da esperienze… La riserva cognitiva è un concetto fondamentale. È come se il cervello accumulasse nel corso della vita una sorta di risparmio neuronale. Più istruzione si ha, più libri si leggono, più lingue si imparano, più sfide intellettuali si affrontano, maggiore è questa riserva.
L’importanza della riserva cognitiva
“Due persone possono avere lo stesso grado di danno cerebrale, ma quella con una maggiore riserva cognitiva funziona ancora bene, mentre l’altra mostra già segni di declino. Non è un privilegio, è biologia”, chiarisce Castellanos.
Cosa posso fare oggi per prendermi cura di questo cervello che mi ha portato fin qui?
“Cosa posso fare per onorare la sua storia, per sostenere le sue esigenze, per permettergli di continuare a funzionare al meglio delle sue nuove condizioni?”, si chiede questa specialista. “C’è anche bellezza nell’invecchiamento cerebrale. La lentezza può essere profondità. La selettività della memoria può essere saggezza su ciò che conta. La riduzione della reattività emotiva può essere serenità. Il bisogno di semplicità può essere chiarezza. Il cervello a settant’anni non è un cervello fallito. È un cervello diverso, con i suoi doni, le sue capacità. E forse la sfida più grande non è impedire i cambiamenti, ma imparare a vedere ciò che nasce al loro interno. Quindi, quando arriviamo ai 70 anni, il nostro cervello ha già attraversato decenni di esperienza, si è modellato e rimodellato innumerevoli volte, ha perso neuroni e creato connessioni, ha vissuto gioie e dolori, ha imparato e dimenticato e imparato di nuovo. I cambiamenti che avvengono ora sono reali, misurabili, innegabili, ma non sono la fine della storia. Sono un nuovo capitolo, scritto con un ritmo diverso, con parole diverse, ma comunque pieno di possibilità”.
